



2021年12月1日,一位肝癌患者从红河州第三人民医院、红河州肿瘤医院顺利康复出院。这位患者2021年11月23日在该院肝胆·介入科行“左半肝切除+尾状叶切除+门静脉切开取栓术”,在张建华副院长的指导下,由科室徐耀端主任、孙春权主治医师、尚子奎医师精心合作,手术过程顺利,术后患者恢复情况良好。此手术标志着该院肝胆·介入科在红河州达到了领先水平,与省级水平同步。


原发性肝癌即人们常说的肝癌,它具有极高的侵略性、致命性以及恶性程度。从全球范围看肝癌的发病率占各类癌症的第5位,死亡率占第3位,而我国又是肝癌的高发国家,在我国肝癌的发病率居各类癌症第4位,死亡率仅次于肺癌高居第2位。乙型肝炎病毒及丙型肝炎病毒等嗜肝病毒的感染、饮酒、含黄曲霉素的霉变食物的摄入、幽门螺旋杆菌的感染、肝脏硒储备量的缺乏以及有肝癌家族史等是肝癌发生的相关危险因素。早发现、早治疗是延长肝癌患者生命的核心。目前治疗以外科手术为主结合放疗、化疗、介入、射频消融、分子靶向药物、免疫治疗以及中医中药的全身治疗是肝癌治疗的重要方式。
近年来,红河州第三人民医院、红河州肿瘤医院肝胆·介入科综合利用肝癌治疗规范化、科学化、个性化的专业优势,大力开展省内领先的肝动脉灌注化疗(Hepatic Arterial Infusion Chemotherapy, HAIC)与外科手术切除病变肝脏相结合的转化治疗,在肝癌治疗领域取得了重要成绩,使大量肝癌患者获得了可喜的疗效。
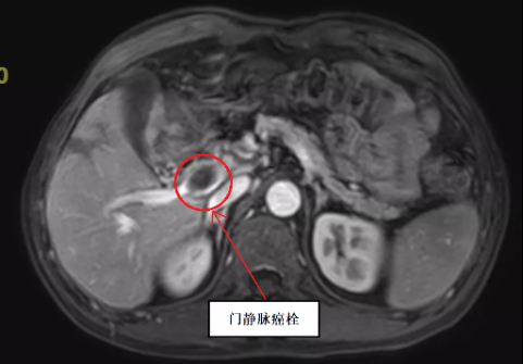
据肝胆·介入科徐耀端主任介绍,患者李某某,男性,56岁,石屏人,在3个多月前发现肝脏占位,其间,辗转云南省内多家三甲医院均被认为不能通过手术切除肝脏肿瘤及癌栓。而后,患者经过多方打听,于2021年11月16日到红河州第三人民医院肝胆·介入科就诊。患者入院后给予完善3.0 T核磁共振及320排CT等相关检查,经过该院肝胆·介入科、肿瘤内科、放射科、放疗科等9个科室专家参与的专病多学科会诊(MDT)讨论,研究制定详细手术方案,并于2021年11月23日在红河州第三人民医院肝胆·介入科行“左半肝切除+尾状叶切除+门静脉切开取栓术”,手术过程顺利,术后患者恢复情况良好,于2021年12月1日顺利康复出院。
(文/图 神经外科-肝胆外科-介入科 孙春权、陈希源)