



2022年3月16日,一位经历转化治疗后接受了“左半肝切除+全尾状叶切除+肝S6段肿瘤切除+门静脉切开取栓术+肝门部淋巴结清扫术”的红河州建水县59岁的肝癌大叔,返回红河州肿瘤医院(红河州第三人民医院)复查,手术成功,未发现转移复发,治疗和康复效果明显。更让这位大叔欣慰的是,原辗转多家医院以为救治无望了,没想到在红河州肿瘤医院重获新生,让生命不断得以延续,还高高兴兴迎来自己小孙子的诞生,一家人共享天伦,其乐融融。

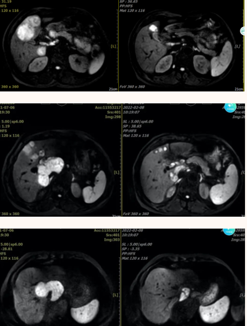
据悉,这位59岁的建水王大叔,曾经因为肝脏巨大恶性肿瘤,到多家医院就诊,均被告知“不能手术”,然而,若不治疗,将因肝功能衰竭而亡,很可能活不过半年。2020年7月3日,王大叔抱着“试试看”的心情到红河州肿瘤医院(红河州第三人民医院)就诊,入院后诊断为:肝恶性肿瘤 CNLCIIIA 期;门静脉主干癌栓;乙型病毒性肝炎;高血压2级;2型糖尿病;前列腺增生症I°;后天性双肾肾囊肿 。危及其生命的,就是肝癌晚期,而且,肝脏肿瘤巨大,左半肝肿瘤有8.99×8.44厘米,尾叶肿瘤有9.38x6.19厘米,相当于两个“鸵鸟蛋”。更让医生也感到棘手的是,肿瘤还紧紧包裹了下腔静脉。
该院肝胆外科、肿瘤内科、影像科、放疗科等专家经过MDT(多学科联合会诊),认真研究了王大叔病情后,告知可以先转化治疗,观察治疗效果再考虑手术切除,王大叔重新点燃了生命的希望。据该院副院长、肝胆外科主任医师张建华介绍,转化治疗的定义,就是肿瘤经过放疗、化疗、靶向治疗、免疫治疗、介入治疗乃至中药治疗之后肿瘤缩小,使原来无法切除的肿瘤变成能达到R0切除的过程,称为转化治疗成功,而R0切除的意思就是肿瘤能达到病理情况下完整切除。这有望大大延长患者的无进展生存期以及总的生存期,使患者的生活质量得到提高。于是,该院肝胆外科从2020年7月7日开始,为王大叔进行转化治疗(HAIC+免疫治疗),至2022年1月11日,转化治疗效果明显,左半肝肿瘤由原来的8.99×8.44厘米缩小到1.9x2.7厘米,尾叶肿瘤由原来的9.38x6.19厘米缩小的到5.2×3.9厘米。2022年2月17日,经MDT专家再次评估肿瘤回缩可切除,于是行“左半肝切除+全尾状叶切除+肝S6段肿瘤切除+门静脉切开取栓术+肝门部淋巴结清扫术”。在张建华副院长的主持下,历经8个小时,手术获得成功。手术难点,就是肿瘤紧紧包裹下腔静脉,术中两条大血管极易破裂导致患者大出血死亡,手术难度,相当于肝移植。患者手术12天后出院,病理报告提示:肿瘤切缘阴性,达到R0切除。2022年3月16日返院复查,各项指标已趋正常,未发现转移复发。

该院肝胆外科主任徐耀端提醒,乙肝是肝癌高发的诱发原因之一,在乙肝的病人应该定期行乙肝DNA检测。同时,乙肝病人应该积极的进行抗乙肝病毒的治疗,控制住乙肝病毒的复制,而且同时配合护肝、避免饮酒、避免服用对肝脏损伤的药物,能够减少肝癌的发病率。
徐耀端也提醒,针对肝癌患者的高危人群,也要引起重视,如果他家里面有亲属,有肝癌、肝硬化的患者,就叫做肝癌患者的高危人群,这些人群是男性,年纪大于40岁以上的,就是发生肝癌概率的高危人群,这种人必须密切随访,定期到医院检查,做一些肝癌指标,比如甲胎蛋白,包括做一些定期的彩超检查,要尽早发现,可以尽早处理。
(文 赵俊峰、图 神外、肝胆外科 尚子奎)